Admin
25 Ocak 2017

Humerus Psödoartrozlarının İlizarov
Yöntemi ile Tedavisi


Bütün kırıkların % 2-7 oranını humerus kırıkları teşkil eder. Campbell 226 uzun kemik psödoartrozunun 52 tanesinin humerus lokalizasyonlu olduğunu belirtmektedir.

Gelişmiş kapalı repozisyon teknikleri, fonksiyonel breysleme teknikleri ve ilerlemiş osteosentez yöntemlerinden dolayı bu kırıkların ancak % 13-17’si psödoartroz olarak karşımıza çıkar.

İşte bu vakaların İlizarov prensiblerine göre tedavisi, cerraha deformiteyi düzeltme, kemiğin boyunu restore etme ve defektli bölgenin yeni rejenerat ile replase edilmesi imkanını verir.

Humerus psödoartrozlarına tedavi yaklaşımını 3 başlık altında inceleme doğru olur:

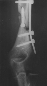
1. Deformite ile birlikte Sert Psödoartroz
Bu tip psödoartrozlar genelikle yetersiz stabilite sonucu oluşmuşlardır. Patolojinin tedavisinde prensip, tedrici olarak deformitenin düzeltilmesi ve bir miktar distraksiyonla (monofokal distraksiyon osteogenezi) kallus oluşumunun stimülasyonudur. Deformite düzeltme prensiplerinden de bilindiği üzere eğer ekstremitede kısalık da mevcut ise menteşeler deformitenin konveks tarafında açı ortay üzerine yerleştirilmelidir. Psödoartroz hattı günde 0.5 mm distraksiyon yapacak şekilde ayarlanmalıdır. Çünkü klinik tecrübemiz sert psödoartrozlarda 1 mm / gün yapılacak bir distraksiyonun ağrıya sebep olacağıdır.

2. Gevşek Atrofik Psödoartroz
Bu tip psödoartrozlar genelikle atrofik olarak kabul edilmelidir. Her ne kadar İlizarov yayınlarında, psödoartroz bölgesindeki atrofiyi monofokal kompresyon-distraksiyon osteogenezisi (akordion tekniği) ile aktiv ettiğini bildirse de Anglosakson literatürü bölgenin primer olarak greftlenmesini önermektedirler. Bizim tecrübemizde bu bölgenin primer greftlenmesi yada post operatif takip dönemlerinde bir veya iki kez kemik iliği enjeksiyonları yaparak psödoartroz hattının aktive edilmesi ve monofokal kompresyon osteogenezi uygulanmasıdır.

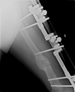
3. Defekt Psödoartrozlar
Genellikle birden çok kez cerrahi müdahele geçirmiş ya da osteomiyelitise bağlı kemik rezeksiyonu nedeniyle, çok nadiren de tümör rezeksiyonuna bağlı oluşmuş defektlerdir. Bilindiği gibi humerus da oluşan kısalık kimi otörlere göre 4cm bazılarına göre de 6 cm’ye kadar fonksiyonel bir yetersizlik ortaya çıkarmaz. Segment transportu monofokal osteogeneze göre daha komplike olduğundan 4-6 cm ‘lik defektler kadar psödoartroz mobil psödoartroz olarak kabul edilmelidir. Bunun üzerindeki defektlerde konvansiyonel olarak damarlı fibula grefti ya da allogreft uygulamalarının yanında, İlizarov’a göre segment transportu da bir tedavi seçeneğidir. Tümör rezeksiyonları dışındaki defektler genellikle 7 cm’nin altında olduğundan ( 4 cm kabul edilebilir defekt + 3 cm ilave kemik defekti) uygulanan teknik eksternal segment kaydırma olmalıdır. Bifokal osteogenezis olarak da isimlendirilen tedavinin süresini kısaltmak için önerilen bir yöntem de akut kısaltma ve tedrici uzatmadır. Aslında segment transporttan prensipte farklı olmayan bu uygulamada, hedef bölgenin kaynaması için geçen süre esnasında ekstremite uzatılacaktır.

Humerus bölgesinde İlizarov sirküler fiksatör uygulanmasın da dikkat edilmesi gereken hususlar:

1. Rus yayınları klasik uygulamalarda tespitin yalnızca K- telleri ile yapılmasını önermektedir.

2. Lecco kliniğinin geliştirdiği hibrid sistem en güvenli tespit metodudur. Buna göre suprakondiler bölgede uygulanan 2 adet stoplu K –teli dışında bütün tespitte lateral ve antero lateralden uygulanan Schanz vidaları kullanılmaktadır.


3. Paley ve arkadaşları distal humerusda her iki kondilden çapraz yollanan 2 adet Schanz vidasını stabil bir tespit olarak belirtmektedir. Klinik uygulamalarımıza göre medialden Schanz vidası tespiti yapılmadan ulnar sinir eksplorasyonu kanımca en güvenli yoldur.

4. Özellikle segment transportunda proksimal kortikotomi deltoid kasın yapışma yerinin distalinde olmalıdır.

5. Özellikle radial sinirin anteriore geçtiği 1/3 orta-distal birleşim yerinde sinir eksplorasyonunu takiben çivi uyguması en güvenli tekniktir.

6. Tüm İlizarov uygulamalarında olduğu gibi humerus uygulamalarında da anestezide kas gevşeticilerden kaçınmak gerekir. Bu şekilde gerek K-telleri ve gerekse Schanz vidalarının uygulanışı esnasında oluşan nöral eksitasyonlar, kas kontraksiyonları şeklinde cerraha uyarıcı olur.

7. Distal tespitlerde metal çember kullanılıyorsa yarım halka, dirseğin anteriorunu açık bırakacak şekilde yerleştirilmelidir. Eğer karbon çember kullanılıyorsa ameliyat bitiminde dirsek ROM’una izin verecek şekilde anterior kesilerek serbestleştirilmelidir.

8. HASTA KOMFORU AÇISINDAN SON YILLARDA UNİLATERAL (TEK TARAFLI) EXTERNAL FİXATÖRLER KULLANARAK HASTANIN GÜNLÜK YAŞAMDAKİ SIKINTISINI AZALTMAKTAYIZ.

KAYNAKLAR

1-Corley FG, Williams GR, Pearce J.C, Rockwood CA: The management of nonunions of the humerus, Instructional Course Lectures, Vol: 39, S: 277-288, AOOS, 1990.

2-Hoppenfeld S: Surgical exposures in Orthopaedics, the anatomic approach, S: 55, Lippincott Philadelphia, 1994

3-Catagni MA, Malzev V, Krienko A: Advances in Ilizarov Apparatus Assembly, ed: Maiocchi AB, S: 60-65, 1994.

4-Simpson H, Sharp R, Latham J, Kenwright J: Identification and healing time of nonunions treated with distraction, ASAMI, 1 st International Meeting Abst. book, paper: 67, 1998.

5- Shuind FA, Burny F, Chao EYS : Biomechanical properties and design considerations in upper extremity external fixation, Hand Clinics, Vol:9,No:4,s:543-553,November 1993.

6- Cattaneo R,Catagni MA, Guerreschi F : Applications of Ilizarov method in the humerus,lengthenings and nonunions, Hand Clinics,Vol:9,No:4,s:729-739,1993.

7- Ilizarov GA : Pseudoarthroses and defects of long tubular bones, Transosseous osteosynthesis, s: 453-530, Springer Verlag, 1992.